leyu乐鱼(中国)体育官方网站

Products

Thoracentesis Ultrasound Training Model

Model TYE1567
Product size(mm)461×460×295


Outline

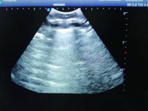
This model is an ideal choice for ultrasound-guided thoracentesis training with true-to-life skin feel and touch, accurate anatomical structures as well as real clinical ultrasound images. Realistic resistance to needle tips and correct landmarks provide excellent hands-on experience.



Skills Gained

· Anatomical understanding and palpation

· Recognition of landmarks by ultrasound and image interpretation

· Needle insertion

· Fluid aspiration

 

Features

· Anatomy: 

   Ribs, intercostal space, costal arch, axilla, scapular, etc.

· Realism:

1)  Advanced material for true-to-life skin touch, feel and puncture

2)  Real clinical ultrasound images with clear muscles, connective tissues, lungs and pleural structures

3)  Compatible with various real ultrasound machines

· Key Features:

1)  Ultrasound-guided thoracentesis practice

2)  Resistance & “pop” felt through the needles

3)  Puncture pad is durable and replaceable for repeated use  

4)  300ml-reservoir in both sides for long time fluid aspiration  

5)  Fluid available after successful puncture




Tellyes, Virtually Real

Stock code :833047

Address:2nd & 3rd Floor, West 6th Building, 18 West HaiTai Road, Tianjin, China

Postcode:300384

Phone:4006-355-510

+86-22-83711066

Fax:+86-22-83711065

Email:

Tellyes Scientific INC.  Copyright